×
注意!页面内容来自https://www.zhihu.com/question/24422715,本站不储存任何内容,为了更好的阅读体验进行在线解析,若有广告出现,请及时反馈。若您觉得侵犯了您的利益,请通知我们进行删除,然后访问 原网页
A型(Amplitude modulation)
• 幅度显示
• 显示探头接收到的反射或透射超声信号的幅度随时间变化的过程
• A型显示的是一条幅度随时间变化的曲线,而不是图像
•目前仅在眼科用于生物测量

B型(Brightness modulation)
• 显示亮度调制的信号
• 在超声诊断仪的显示器上,以亮度调制的方式,显示声束扫描平面内人体组织的断面图象。
• B型显示给出的是人体的解剖结构图象。
B超是B型超声的简称,即我们通常所说的“黑白超”。它是以不同辉度的光点强弱显示脏器及病变的二维切面图像的超声检查方法。

( 简述: 以亮度的强弱显示组织回波信号的强弱,并转为二维灰度图像。二维断面图像,实时显示组织结构,形象直观。)
M型(Time-motion mode)
• 用于显示体内某一声束上各界面与探头的距离随时间变化的曲线。纵轴代表人体组织的深度,横轴代表这些不同深度的界面在某一段时间内的运动曲线。
• 主要应用在于心脏的检查,可将运动的心壁,血管壁或瓣膜的活动情况。
• 一般和B型同步显示。

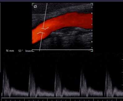
D型(Doppler-mode)
显示超声的多普勒(Doppler)效应所产生的频移时即为D型超声诊断法。
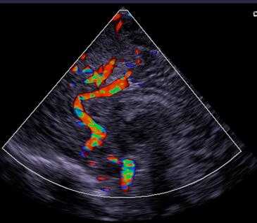
按显示方式分两大类:彩色多普勒显示;

频谱多普勒显示

B超是B型超声的简称,即我们通常所说的“黑白超”。它是以不同辉度的光点强弱显示脏器及病变的二维切面图像的超声检查方法。
彩超是彩色多普勒超声的简称。它是根据多普勒效应在二维超声显像(即B超)的基础上,叠加彩色血流信号,实现彩色血流显像的一种方法。
二者并非人们所想象的类似彩色电视机与黑白电视机的简单色彩区别。
(非专业人员,只是了解过相关知识,有不对的地方请指正)