×
注意!页面内容来自https://www.zhihu.com/question/24422715,本站不储存任何内容,为了更好的阅读体验进行在线解析,若有广告出现,请及时反馈。若您觉得侵犯了您的利益,请通知我们进行删除,然后访问 原网页
A型(Amplitude modulation)
• 幅度显示
• 显示探头接收到的反射或透射超声信号的幅度随时间变化的过程
• A型显示的是一条幅度随时间变化的曲线,而不是图像
•目前仅在眼科用于生物测量

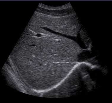
B型(Brightness modulation)
• 显示亮度调制的信号
• 在超声诊断仪的显示器上,以亮度调制的方式,显示声束扫描平面内人体组织的断面图象。
• B型显示给出的是人体的解剖结构图象。
B超是B型超声的简称,即我们通常所说的“黑白超”。它是以不同辉度的光点强弱显示脏器及病变的二维切面图像的超声检查方法。

( 简述: 以亮度的强弱显示组织回波信号的强弱,并转为二维灰度图像。二维断面图像,实时显示组织结构,形象直观。)
M型(Time-motion mode)
• 用于显示体内某一声束上各界面与探头的距离随时间变化的曲线。纵轴代表人体组织的深度,横轴代表这些不同深度的界面在某一段时间内的运动曲线。
• 主要应用在于心脏的检查,可将运动的心壁,血管壁或瓣膜的活动情况。
• 一般和B型同步显示。

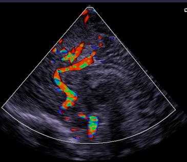
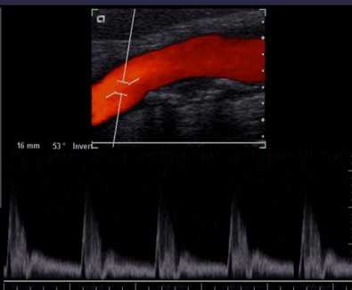
D型(Doppler-mode)
显示超声的多普勒(Doppler)效应所产生的频移时即为D型超声诊断法。
按显示方式分两大类:彩色多普勒显示;

频谱多普勒显示

B超是B型超声的简称,即我们通常所说的“黑白超”。它是以不同辉度的光点强弱显示脏器及病变的二维切面图像的超声检查方法。
彩超是彩色多普勒超声的简称。它是根据多普勒效应在二维超声显像(即B超)的基础上,叠加彩色血流信号,实现彩色血流显像的一种方法。
二者并非人们所想象的类似彩色电视机与黑白电视机的简单色彩区别。
(非专业人员,只是了解过相关知识,有不对的地方请指正)

知识标签:
彩超、超声成像、USG、超声成像类型、超声诊断、超声测量血流、超声上色
查看精美图文排版请移步新医谷微信公众号,微信搜索公众号:新医谷(xinyigu666);新医谷(xinyigu666);新医谷(xinyigu666)
公众号标题:彩超=彩色的B超?No!
彩超作为一种非创伤性的影像学检查手段,在临床上被广泛应用,但司言发现许多人对彩超存在着误解,认为彩超就是彩色的B超。为了解除大家对彩超的误解,司言决定在这里系统的为大家科普一下。
首先,彩超不能与彩色的B超等同,有的彩超检查结果也有可能是黑白的。

彩超与B超都属于超声成像,想要弄明白它们之间的关系,首先需要认识超声成像。
超声成像(USG)
与其他检查技术,如CT、X光成像原理不同,USG是一种基于超声波(频率>20000赫兹的声波,人耳不能听见,超声诊断常用范围为2-13兆赫)的医学影像学检查技术,没有辐射。

根据显示方式,USG可分为A型、B型、M型、D型四种类型。

B型即我们通常说的B超,D型即多普勒型,彩超就属于这一型。接下来,就详细地认识认识B超与彩超。
B型超声诊断
B型超声诊断基于超声波在人体内到达不同组织界面,反射的回波信号就不同(组织距离探头越远,反射回波信号越弱)这一原理,以不同明暗程度的光点(即灰阶形式)表示不同强弱程度的回波信号,即反应不同的组织界面。
把不同明暗程度的光点连续起来就构成了被探测部位的二维断层图像或切面图像,即声像图。

D型(多普勒型)超声诊断
多普勒超声诊断主要分为图谱多普勒、彩色血流成像、彩色能量成像。其中,以彩色血流成像最常见。
彩色血流成像就是基于血流的多普勒效应来成像的。(多普勒效应:当声源或接收体或两者同时相对介质运动时,接收体接收到的声波频率发生变化的现象。)

超声探头发出频率为f1的超声波,被流动的红细胞以更高或更低的频率f2反射回探头,根据频率的差异,使用相关技术可算出血流速度和方向等信息。
测量血流的三种方法:
一、连续波多普勒(CW)
连续发射和接收脉冲波,多普勒超声束内的所有回波信号都被记录下来,显示的频谱是声束通道上所有血流信息的混合血流频谱。
优点:可测量高速血流,定量分析血管狭窄、反流和分流性病变。
缺点:缺乏距离选通能力,不能定位诊断、探头敏感性低。
二、脉冲波多普勒(PW)
采用了距离选通(也称距离分辨,为了获得某一深度的血流信息,只接收在某一距离上的回波信号)方法。
优点:能沿超声束的不同深度对某一区域的多普勒信号进行定位检测。
缺点:脉冲重复频率的上限受最大探测深度的制约。
脉冲重复频率(PRF):每秒钟发射的脉冲群的数目,是衡量PW的一项重要参数。
三、高脉冲重复频率多普勒(少用)
介于PW与CW之间的一种方法,使用较高的频率间断地发射和接收超声脉冲,以频谱显示血流信息。
优点:能测量高速血流,但不及CW。
缺点:无距离选通能力,不能定位。
掌握了原理、方法,接下来是不是就该动手操作了呢?

别急,先来熟悉一下操作流程。

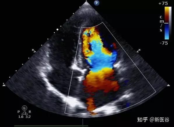
在上述机制图中,后续的编码和显像就是将储存的血流数据转换为色度信号,即上色。但上色可不是随心所欲的哦!
关于颜色的选择可是有严格的规定的,现在通用的是国际照明委员会规定的三原色:红、绿、蓝。

其他颜色都是由这三种颜色混合而成,如流向探头的血流出现湍流,将出现红色加绿色形成的黄色,流离探头的血流出现湍流,将出现蓝色加绿色形成的青色。

而如果在操作中不对图像上色,得到的数据可不就是没有颜色的吗?所以彩超也有可能是黑白的。
总的来说,从原理方面,彩超可以简单地认为是B超+多普勒效应。但这并不意味着B超就要被淘汰哦!彩超主要针对运动组织器官,如血流、心脏等,且相对B超而言,彩超的成本更昂贵,许多通过B超就能诊断的疾病就不必使用彩超。目前临床上医生大多先采用B超,当B超无法诊断时,再采用彩超。
参考文献
[1] 安常福 张丽华.医学彩超的临床应用分析[J].生物技术世界.2016(117)
[2] 翟伟,王红莉,苏重清.基于多普勒成像的彩色血流成像技术[J].中国医疗设备,2008,23(4):43-47
[3] 吉强,洪洋.医学影像物理学(第4版).人民卫生出版社.2016
查看精美图文排版请移步新医谷微信公众号,微信搜索公众号:新医谷(xinyigu666);新医谷(xinyigu666);新医谷(xinyigu666)